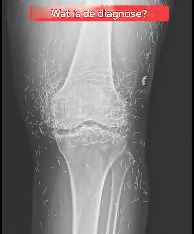
Toen artsen een röntgenfoto bekeken van de knieën van een oude vrouw die last had van ernstige gewrichtspijn, ontdekten ze een goudmijn: honderden kleine gouden acupunctuurnaaldjes waren in haar weefsel achtergebleven.

Toen artsen een röntgenfoto bekeken van de knieën van een oude vrouw die last had van ernstige gewrichtspijn, ontdekten ze een goudmijn: honderden kleine gouden acupunctuurnaaldjes waren in haar weefsel achtergebleven. De 65-jarige vrouw uit Zuid-Korea had eerder de diagnose artrose gekregen, een aandoening waarbij het kraakbeen en de botten in de gewrichten afbreken, wat … Lire plus

Deze 3 groenten hebben een hoog risico op kanker. Weet vroeg genoeg hoe je ze kunt vermijden en vertel het je dierbaren!

Kunnen sommige groenten echt kanker veroorzaken? De mythes ontmaskeren en de feiten kennen In het tijdperk van sociale media komen we vaak alarmerende koppen tegen, zoals: « Deze 3 groenten hebben een hoog risico op kanker. Weet vroeg genoeg hoe je ze kunt vermijden! » Dit soort uitspraken, vaak vergezeld van schokkende afbeeldingen of opvallende rode tekst, … Lire plus

Ik had hier geen idee van!

Veel huiseigenaren zijn zich niet bewust van een kleine maar belangrijke functie in hun koelkasten die kan leiden tot aanzienlijke energiebesparingen: de temperatuurregelknop. Deze knop, die vaak over het hoofd wordt gezien, stelt gebruikers in staat om de interne temperatuur van hun koel- en vriescompartimenten aan te passen. Hoewel het triviaal lijkt, kunnen onjuiste instellingen … Lire plus

Er is aangetoond dat rode bieten een aantal wonderbaarlijke gezondheidsvoordelen hebben.

Rode bieten zijn niet alleen levendig en smakelijk, maar zitten ook boordevol vitaminen, mineralen en antioxidanten, die allemaal een aanzienlijk en positief effect op de gezondheid kunnen hebben. Hoewel de meeste mensen bekend zijn met de gebruikelijke manieren om bieten te consumeren, zoals in salades of sappen, is er een minder bekend recept dat deze … Lire plus

Hoe u uw vuilnisbak op natuurlijke wijze kunt ontgeuren: 7 eenvoudige, milieuvriendelijke oplossingen

Hoe u uw vuilnisbak op natuurlijke wijze kunt ontgeuren: 7 eenvoudige, milieuvriendelijke oplossingen Ohga Video Editors • 28 april 2025Ohga’s video’s | Virale video Maakt u zich geen zorgen als uw prullenbak onaangename geuren afgeeft! Er zijn verschillende natuurlijke en effectieve manieren om de lucht te verfrissen – zonder agressieve chemicaliën. In deze gids laten … Lire plus

Het stel huurde een appartement en vertrok. De huisbaas schrok toen hij de deur van het appartement opende.

CHINA – Een jong stel huurde zo’n 2-3 maanden een appartement in de wijk Baoshan in Shanghai. Maar nadat ze hun huisbaas hadden weggestuurd, kwamen ze in een nachtmerrie terecht. Dit is een van de meest bekeken appartementen in Shanghai – 1e verdieping van het appartement op 27/8. Bron: Morning News from Xiaoxiang Een gruwelijk … Lire plus

Ja, azijn helpt de wasmachine grondig schoon te maken: zo gebruik je het

De wasmachine vereist uren en uren handwerk. Daardoor is het sinds de komst ervan niet meer nodig om zo hard te klimmen als het onvermijdelijk is geworden. Hoewel ze zelf wat tijd en doorzettingsvermogen bespaarde, slaagde ze erin om stil en geruisloos voorzorgsmaatregelen te nemen. Verstand van zaken, dus delen we tips met je die … Lire plus