Ik heb een verborgen camera in elf Airbnb – en het is een huiveringwekkend antwoord van de gastheer op de manier waarop ik reisveiligheid voor altijd zie

Wanneer u een reis plant, is het gemakkelijk om u veilig te voelen door wat er veilig en vertrouwd uitziet. Een recente recensie. Een fotogalerij. Een open platform op Airbnb dat ‘geverifieerde hosts’ en ‘veilige verblijf’ verwoest. Als u er klaar voor bent, kunt u uw dagelijkse routine verzorgen en zult u zich op uw … Lire plus

Het natuurlijke ingrediënt dat ons 8 uur achter elkaar laat slapen en helpt vet te verbranden

Ontdek het natuurlijke ingrediënt dat een diepe, herstellende slaap bevordert en je stofwisseling stimuleert om vet te verbranden: kaneel. Ontdek de voordelen ervan en hoe je het in je nachtelijke routine kunt integreren. Waarom diepe, continue slaap belangrijk is Een goede nachtrust is essentieel voor de algehele gezondheid en het behoud van een gezond gewicht. … Lire plus

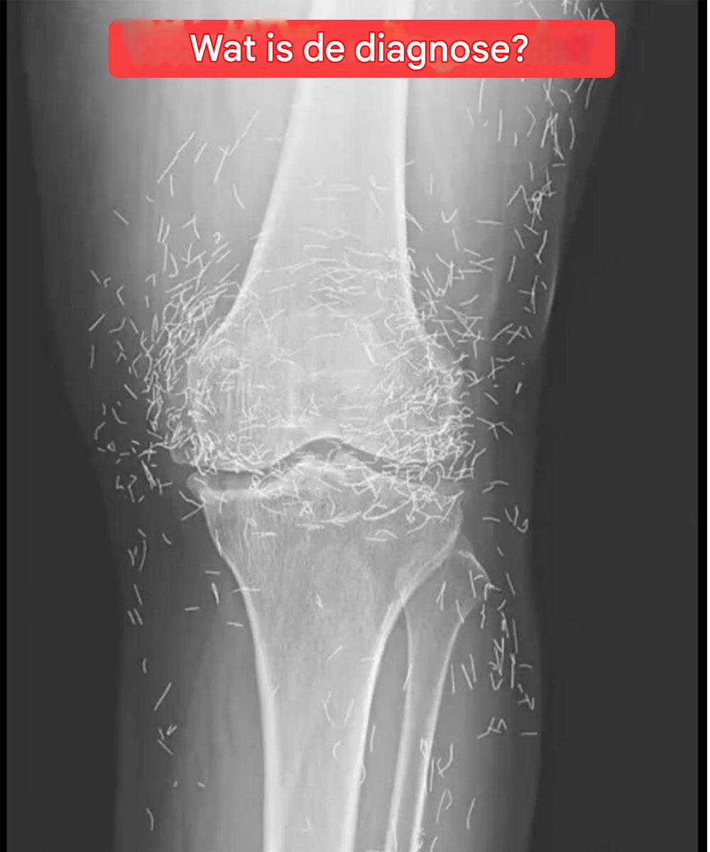
Röntgenfoto onthult honderden gouden naalden in knieën van vrouw

Toen artsen een röntgenfoto van de knieën van een oudere vrouw met ernstige gewrichtspijn onderzochten, ontdekten ze een goudmijn: honderden kleine gouden acupunctuurnaaldjes die in haar weefsel waren achtergebleven. De 65-jarige Zuid-Koreaanse vrouw had eerder de diagnose artrose gekregen, een aandoening waarbij het kraakbeen en de botten in haar gewrichten aftakelen, wat pijn en stijfheid … Lire plus

Mijn schoonzus belde vanuit een resort en zei dat ik haar hond moest voeren, maar toen ik aankwam, was er geen hond… Alleen haar vijfjarige zoon, opgesloten in een kamer.

Mijn schoonzus belde vanuit een resort en zei dat ik even langs moest komen om haar hond te voeren. Maar toen ik aankwam, was er geen hond – alleen haar vijfjarige zoontje, verwaarloosd en opgesloten in een kamer. « Mam zei dat je niet zou komen, » fluisterde hij. Ik bracht hem met spoed naar het ziekenhuis … Lire plus

Voedingsmiddelen die gunstig zijn voor spierversterking op oudere leeftijd

Het behouden van kracht, onafhankelijkheid en vitaliteit wordt steeds moeilijker met de leeftijd. Na de leeftijd van 60 ervaren veel mensen verlies van spiermassa, zwakte bij het ontwaken, zware benen en een gebrek aan vitaliteit. Er is echter een eenvoudige, natuurlijke en wetenschappelijk bewezen oplossing: eet de juiste voeding voor het slapengaan. Deze gewoonte kan … Lire plus

Toen ik opgroeide, begreep ik eindelijk de pijn van mijn moeder. Ze klaagde nooit, vroeg nooit om medeleven.

Toen ik opgroeide, begreep ik eindelijk de pijn van mijn moeder Toen ik klein was, nam mijn moeder me mee voor een wandeling. En elke keer als we thuiskwamen, sloot ze zich op in de badkamer en huilde. Ik dacht dat mijn moeder in de badkamer huilde omdat ze verdrietig was. Ze zei altijd: « Mama … Lire plus

Sociale media « De ‘K!ng van calciumuitputting’ – 3 veel voorkomende soorten water die je botten zwakker maken naarmate je meer drinkt.

Volgens onderzoek spelen naast de leeftijd ook de levensstijl en het dieet van een persoon een cruciale rol bij het veroorzaken van osteoporose. 3 veel voorkomende dranken die het vermogen hebben om calcium uit het lichaam te « afvoeren », maar veel mensen realiseren zich niet: Alcohol